Réhabilitation implantaire (parution « Reflect 3/2014 »)

Une technique simplifiée pour un cas complexe (parution « Reflect 3/2014 »):

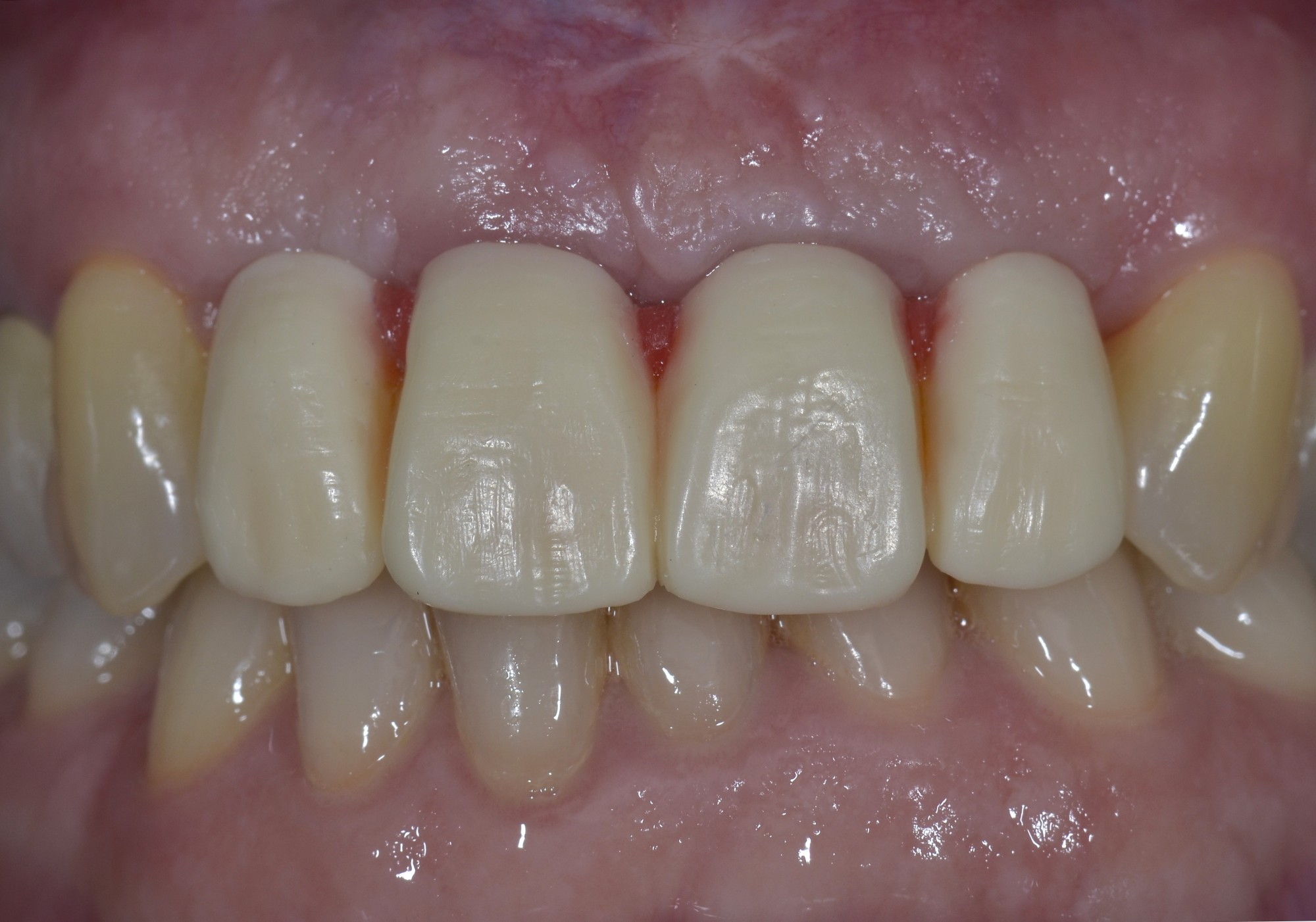
Ce cas associe habilement une armature en zircone translucide,une dentine pressée, une céramique de caractérisation et un composite de laboratoire couleur gencive (esthétique blanc-rose), pour un résultat répondant aux attentes de la patiente.