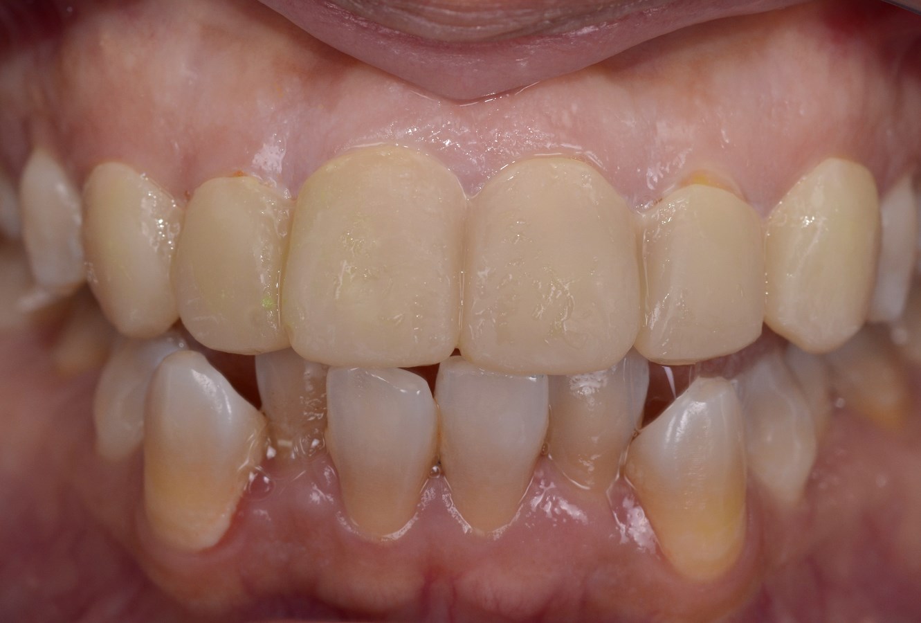
Cette patiente vient de Belgique, elle souhaite améliorer l’esthétique de son bloc antérieur maxillaire. Toutefois une demande particulière, il ne fallait pas que son conjoint s’en aperçoive…Nous optons pour 6 facettes antérieures en disilicate de lithium pour ses qualités esthétiques, biocompatibles aux préparations peu invasives.
(Céramique EMAX Ivoclar)
